Bienvenue sur notre site France Lafora.
Nous vous invitons à vous rendre dans les actualités pour suivre les dernières informations liées aux recherches ainsi que toutes les actions menées pour faire connaitre la maladie et récolter des fonds.
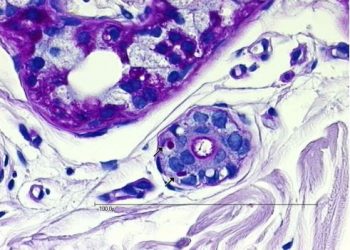
La maladie de Lafora est une maladie génétique qui fait partie des épilepsies myocloniques progressives. C’est une maladie neurodégénérative extrêmement rare engageant le pronostic vital.
Les 1ères manifestations de cette maladie surviennent généralement au cours de la seconde enfance et se caractérisent par des crises d’épilepsie et des secousses myocloniques . Son évolution est marquée par une dégénérescence lente et progressive du système nerveux et une détérioration des fonctions cérébrales aboutissant à un état de dépendance complète du malade. Celui-ci devient alors incapable de se mouvoir, de parler, de s’alimenter seul. L’espérance de vie peut atteindre 10 ans après l’apparition des premiers signes neurologiques.
La perte d’autonomie est très difficile à vivre pour nos enfants. Alors que la vie leur ouvrait les bras, ils se retrouvent piégés, cette maladie bouleversant tous leurs projets. Pour eux, il n’y a pas d’avenir. Ils devront arrêter leurs études, leurs activités sportives, ne pourront pas conduire, ne pourront pas avoir de vie amoureuse, leur cercle d’amis s’étiolera, ils ne deviendront pas ces jeunes hommes ou jeunes femmes que l’on imaginait, nous, leurs parents.
Il n’existe actuellement aucune thérapie sur le marché permettant de soigner ni même de ralentir la progression de la maladie. Les traitements antiépileptiques et anti myocloniques sont purement symptomatiques. Les protocoles proposés aux patients reposent sur leur confort, le but étant de limiter les crises généralisées, les crises occipitales et les myoclonies d’action et de repos.
Pour nos enfants Lafora, le temps est compté.
La recherche est donc notre seul et unique ESPOIR.
FIGHTING THE RARE
Il s’agit du dernier support média sorti le 26/06/2023 sensibilisant à la Maladie de Lafora. On y retrouve des témoignages de tous les acteurs de la maladie (parents, chercheurs,…).
Sous-titré en Français













Djao
Matys
Mathilda
Robin1
Giulian
Marhilda Dja et Giulian
Mathilda Giulian
Julie
Djao 2
Robin2
Bene
Robin
received_1466913347403541




